Close-up of a microscope with an abstract overlay of white circles in a lab setting

IHC interpretation of CLDN18.2 expression

Accurate CLDN18.2 staining interpretation is critical to guide treatment decision-making.1-5

CLDN18.2-positivity is defined as ≥ 75% of tumour cells demonstrating moderate to strong (2+/3+) membranous CLDN18 staining, based on IHC assessments in 2 recently published global Phase 3 studies.1-3

In G/GEJ tumours, assessment for CLDN18.2-positivity is determined by the percentage of tumour cells stained with moderate-to-strong membrane stain intensity1,4

 

Example CLDN18 staining intensities in G/GEJ cancer


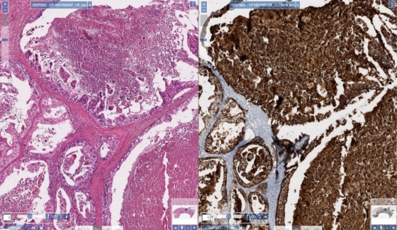
Matched H&E and IHC stain of gastric tumour necrosis (10x magnification)

stain-interpretation
  • CLDN18-stained tissue sections may exhibit a range of membrane staining intensities, from an absence of staining to strong, well-defined staining1
  • Staining intensity is scored between 0 and 3+ (absent, 0; weak, 1+; moderate, 2+; and strong, 3+)1

 

Practical guidance on CLDN18.2 expression interpretation1,6

Evaluation guidelines

 

  • Ensure preinvasive lesions are distinguished from invasive carcinomas, especially in biopsy specimens6
    • Only evaluate CLDN18.2 expression in invasive carcinomas, not in preinvasive lesions1
  • Ambiguous staining should be interpreted as inadequate for CLDN18.2 scoring, and a separate sample should be obtained for re-testing and scoring purposes1
  • Account for tumour necrosis, cytoplasmic staining, and edge effect during interpretation1
  • In poorly cohesive carcinomas, joint evaluation of CLDN18 staining and its matched hematoxylin and eosin-stained slide is strongly suggested1
  • In cases with mixed histology, the most representative tumour sample/block exhibiting morphologic tumour heterogeneity should be selected for testing1
    • CLDN18.2 expression may be different in the two neoplastic constituents; therefore, the report should represent a comprehensive evaluation of both components
  • Consider evaluation by a second pathologist, when possible, for difficult/borderline cases1
  •  

Staining considerations

Signet ring cells and dysplastic lesions

Signet ring cells and dysplastic lesions
  • Exclude tumour cells with nonspecific staining in signet ring cells or dysplastic lesions1,6
  • Signet ring cells may be misinterpreted because of nonspecific staining in the marginated cytoplasm similar to that noted for HER21
  • Although dysplastic lesions show CLDN18.2 expression similar to that observed in invasive adenocarcinoma, there are no data available on the concordance of CLDN18.2 expression in dysplastic lesions and their matched invasive counterparts1

Cytoplasmic vs nuclear staining

Cytoplasmic vs nuclear staining
  • Exclude tumour cells with only cytoplasmic staining1,6
  • In cases with high CLDN18.2 expression, membrane expression may be obscured by strong cytoplasmic staining1
    • A chicken wire pattern can usually still be observed to indicate membrane staining
    • Examining staining at 40X may be required to determine true positivity

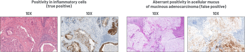
Aberrant positivity

Aberrant positivity
  • Ignore aberrant positivity in inflammatory cells, nonneoplastic cells, or acellular mucus of mucinous adenocarcinoma; CLDN18.2 staining should be repeated on another sample when available1,6
  • Rare cases showing aberrant, faint cytoplasmic positivity in inflammatory cells or other nonneoplastic cells have been characterized by obvious preanalytical factors1

Preanalytical artifacts

Preanalytical artifacts
  • Thermal artifacts: Tissue subjected to electrocautery, especially from mucosal/submucosal dissections, may appear histologically torn and coagulated; in these samples, antigen preservation may be impaired, and areas with thermal artifacts should be excluded from CLDN18.2 evaluation1
  • Underfixation issues: Underfixation can be detrimental for antigen maintenance, potentially causing false-negative staining with edge effects and nonspecific cytoplasmic staining1
Grey circles on light background
To evaluate CLDN18.2 expression, while a minimum of 50 viable neoplastic cells should be required, 100 cells is a more effective benchmark, similar to other predictive biomarker tests.1

Magnification rule1,7

  • For CLDN18.2 assessment, the “magnification rule” can be easily translated into clinical practice to aid in the interpretation of IHC scores1:
    • 3+ intensity is defined as a strong brown immunoreactivity with an evident chicken wire distribution at low power (i.e., 2.5X–5X objective/25X–50X magnification) when 3,3’-diaminobenzidine is used as a chromogen; if a higher magnification is required to confirm membrane expression, then the evaluation is usually 1+ or 2+ for membrane staining intensity
    • 2+ membrane staining is visible using a 10X objective and 20X may be needed for confirmation of specific membrane staining
    • 1+ staining can be visible at 20X but needs a 40X objective for confirmation and should be interpreted as negative
  • The magnification rule is a useful tool for reproducibly subdividing the continuous spectrum of IHC staining intensities into distinct categories to help overcome scoring subjectivity for membrane-bound IHC staining1

Click to view stain gallery

Grey circles on light background

CLDN=claudin. CLDN18.2=claudin 18 isoform 2. H&E=hematoxylin and eosin. HER2=human epidermal growth factor receptor 2. IHC=immunohistochemistry. PD-L1=programmed death-ligand 1.

References: 1. Fassan M, Kuwata T, Matkowskyj KA, et al. Claudin-18.2 immunohistochemical evaluation in gastric and gastroesophageal junction adenocarcinomas to direct targeted therapy: a practical approach. Mod Pathol. 2024;37(11):100589. 2. Shitara K, Xu RH, Ajani JA, et al. Global prevalence of claudin 18 isoform 2 in tumours of patients with locally advanced unresectable or metastatic gastric or gastroesophageal junction adenocarcinoma. Gastric Cancer. 2024;27(5):1058-1068. 3. Shah MA, Shitara K, Ajani JA, et al. Zolbetuximab plus CAPOX in CLDN18.2-positive gastric or gastroesophageal junction adenocarcinoma: the randomized, phase 3 GLOW trial. Nat Med. 2023;29(8):2133-2141. 4. Pellino A, Brignola S, Riello E, et al. Association of CLDN18 protein expression with clinicopathological features and prognosis in advanced gastric and gastroesophageal junction adenocarcinomas. J Pers Med. 2021;11(11):1095. Published 2021 Oct 26. 5. Rohde C, Yamaguchi R, Mukhina S, et al. Comparison of claudin 18.2 expression in primary tumours and lymph node metastases in Japanese patients with gastric adenocarcinoma. Jpn J Clin Oncol. 2019;49(9):870-876. 6. Angerilli V, Callegarin M, Govoni I, et al. Heterogeneity of predictive biomarker expression in gastric and esophago-gastric junction carcinoma with peritoneal dissemination. Gastric Cancer. Published online April 9, 2025. 7. Scheel AH, Penault-Llorca F, Hanna W, et al. Physical basis of the 'magnification rule' for standardized Immunohistochemical scoring of HER2 in breast and gastric cancer. Diagn Pathol. 2018;13(1):19.