Laboratory setting with microscope and  computer monitor displaying a tissue sample — overlaid with an abstract white dot pattern

What is CLDN18.2?

CLDN18.2 is an actionable, predictive biomarker in gastric and gastroesophageal junction (G/GEJ) adenocarcinoma that can help guide treatment approaches.1 ~38% of patients with G/GEJ adenocarcinoma are CLDN18.2-positive,1,2 defined as ≥75% of tumour cells with moderate to strong (2+/3+) membranous CLDN18 staining1-3

Global guidelines—including Canada, Japan, China, Germany, Spain, and broader Europe (ESMO)—recommend incorporating CLDN18.2 testing via IHC upon diagnosis or during workup in patients with advanced G/GEJ.4-9
Abstract pattern of grey concentric circles

Claudins are present throughout the body, but two specific isoforms of CLDN18 are localised to certain tissue types10,11

  • Claudins are a family of transmembrane proteins.12,13
  • As a component of tight junctions, claudins are involved in the regulation of permeability, barrier function, and polarity of epithelial layers.12,13
  • Guidelines, including the ESMO Clinical Practice Guidelines, recommend that CLDN18.2 expression by IHC be examined as a biomarker in gastric cancer9

CLDN18.1

Green lung icon

CLDN18.1 is the dominant isoform in normal and malignant lung tissue.

CLDN18.2

Green stomach icon

CLDN18.2 is the dominant isoform in normal gastric tissue and is often retained in malignant transformation.

Normal and tumour cell CLDN18.2 staining at 5x magnification

Normal and tumour cell CLDN18 staining at 5x magnification.

Preclinical data have shown that CLDN18.2 may become more exposed as gastric tumours develop10,14

CONFINED IN HEALTHY TISSUE

Normal gastric mucosa tissue with CLDN18.2 buried within tight junctions

In normal gastric mucosa, CLDN18.2 is typically buried within tight junctions.10,14

RETAINED AND EXPOSED IN MALIGNANT TRANSFORMATION

CLDN18.2 exposed due to cell polarity disruptions and structure loss

CLDN18.2 is often retained during malignant transformation. CLDN18.2 may be more exposed when cell polarity disruptions and structure loss occur.10,11,15

MAINTAINED IN METASTATIC PROGRESSION

CLDN18.2 expressed in lymph node metastases of gastric adenocarcinoma and other metastatic sites

CLDN18.2 may also be expressed in lymph node metastases of gastric adenocarcinoma as well as other distant metastatic sites.10,16-18

CLDN18.2 expression can be observed in gastric and gastroesophageal adenocarcinoma, as well as other adenocarcinomas.2

spiralbackground
section-graphic-image
Image of various grey circles on dark background
CLDN18.2 is a highly prevalent biomarker in advanced G/GEJ adenocarcinoma1-3

According to two recent global studies which included 4507 patients with locally advanced unresectable or metastatic G/GEJ adenocarcinoma, ~38% of cases demonstrated ≥75% of tumour cells with moderate-to-strong (2+/3+) membranous CLDN18 staining.2,3

  • Among advanced G/GEJ biomarkers, CLDN18.2 is highly prevalent2,3,19
  • CLDN18.2 expression can be readily detected using IHC testing2,3
Graphic showing proportions of CDLN18.2 expression among all samples, and proportion of  samples with 75% of tumor cells expressing of 2+ and 3+ CDLN18.2 staining
According to three recent studies in patients with advanced G/GEJ cancer:

In the context of CLDN18.2 expression, no clear differences have been observed in the prevalence of select biomarkers, including16,20,21

  • HER2
  • PD-L1
  • dMMR
* Data are from three single-institution studies: Study 1 was conducted in Padua, Italy, and included patients with advanced GCs (n=280) and GECs (n=70).16 Study 2 was conducted in 408 Japanese patients with advanced G/GEJ adenocarcinoma.20 Study 3 was conducted at MD Anderson Cancer Center (MDACC) and included 304 patients with G/GEJ adenocarcinoma.21

CLDN18.1=claudin 18 isoform 1. CLDN18.2=claudin 18 isoform 2. dMMR=deficient mismatch repair. ESMO=European Society for Medical Oncology. GC=gastric cancer. GEC=gastroesophageal cancer. HER2=human epidermal growth factor receptor-2. IHC=immunohistochemistry. PD-L1=programmed death ligand 1.

Image of combination of various light grey concentric and overlapping circles on light background

CLDN18.2 expression profile remains consistent across various clinicopathological parameters1,2,23,24

Prevalence of CLDN18.2-positivity by disease characteristics and tumor sample characteristics among all screened patients in 2 Phase 3 studies (N=4507)2

 

Prevalence of CLDN18.2-positivity by disease characteristics and tumor sample characteristics among all screened patients in SPOTLIGHT and GLOW (N=4507)2

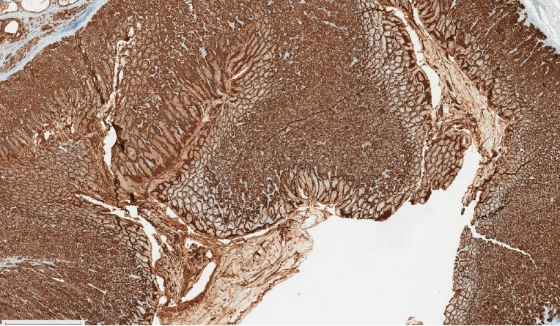
RESECTION OF G/GEJ



5x magnification of CLDN18-stained normal gastric epithelium and tumour cells.

5x magnification of CLDN18-stained normal gastric epithelium and tumour cells.

BIOPSY OF G/GEJ


stain-gastriccancer-5x

5x magnification of CLDN18-stained tumour sample with surrounding normal gastric glands.

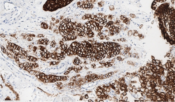
BIOPSY OF G/GEJ


stain-gastriccancer-20x

20x magnification demonstrating CLDN18 staining.

Abstract pattern of grey concentric circles on dark background
There is a high level of concordance between primary and metastatic samples

Data in patients with G/GEJ cancers suggest high concordance of CLDN18.2 expression between samples of primary and metastatic tissue.17,23,24

Lymph node metastases: A study of 523 primary G/GEJ adenocarcinomas and 135 pair-matched, synchronous nodal metastases demonstrated

 

There is a high level of concordance between primary and metastatic samples

 

Peritoneal metastases: Two recent studies suggest similar high concordance of CLDN18.2 expression between primary tumours and peritoneal metastases (PMs)23,24

 

There is a high level of concordance between primary and metastatic samples
There is a high level of concordance between primary and metastatic samples
CLDN18.2 expression demonstrates intratumoural heterogeneity

As with other biomarkers (such as HER2), CLDN18.2 expression in G/GEJ cancer exhibits intratumoural heterogeneity, which should be taken into account when sampling tumour tissue.17,25

In the same study showing high concordance between primary and metastatic tumour samples, intratumoural heterogeneity in CLDN18.2 expression was observed in17

  • 40.3%

    of primary GC tumours

  • 33.6%

    of primary GEC tumours

  • 28.8%

    of nodal metastases



CLDN=claudin. CLDN18.2=claudin 18 isoform 2. GC=gastric cancer. GEC=gastroesophageal cancer. G/GEJ=gastric/gastroesophageal junction. HER2=human epidermal growth factor receptor-2.

MatteoFassan
spirals_corner

Learn more about sample preparation and testing

Image of abstract pattern of concentric light grey circles on dark background

References: 1. Fassan M, Kuwata T, Matkowskyj KA, et al. Claudin-18.2 immunohistochemical evaluation in gastric and gastroesophageal junction adenocarcinomas to direct targeted therapy: a practical approach. Mod Pathol. 2024;37(11):100589. 2. Shitara K, Xu RH, Ajani JA, et al. Global prevalence of claudin 18 isoform 2 in tumors of patients with locally advanced unresectable or metastatic gastric or gastroesophageal junction adenocarcinoma. Gastric Cancer. 2024;27(5):1058-1068. 3. Shah MA, Shitara K, Ajani JA, et al. Zolbetuximab plus CAPOX in CLDN18.2-positive gastric or gastroesophageal junction adenocarcinoma: the randomized, phase 3 GLOW trial. Nat Med. 2023;29(8):2133-2141. 4. Brezden-Masley C, Fiset PO, Cheung CC, et al. Canadian Consensus Recommendations for Predictive Biomarker Testing in Gastric and Gastroesophageal Junction Adenocarcinoma. Curr Oncol. 2024;31(12):7770-7786. 5. Japanese Gastric Cancer Association. JGCA Biomarker Testing Guide for Unresectable Advanced/Recurrent Gastric Cancer, 2nd ed. May 2025. 6. Wang FH, Zhang XT, Tang L, et al. The Chinese Society of Clinical Oncology (CSCO): clinical guidelines for the diagnosis and treatment of gastric cancer, 2023. Cancer Commun (Lond). 2024;44(1):127-172. doi:10.1002/cac2.12516 7. Lordick F, Al-Batran SE, Arnold D, et al. German S3 guideline on gastric cancer: 2025 update. Onkopedia. Published online February 2025. https://www.onkopedia.com/en/onkopedia/guidelines/gastric-cancer/@@guideline/html/index.html. Accessed June 16, 2025. 8. Alsina Maqueda M, Teijo Quintáns A, Cuatrecasas M, et al. Biomarkers in gastroesophageal cancer 2025: an updated consensus statement by the Spanish Society of Medical Oncology (SEOM) and the Spanish Society of Pathology (SEAP). Clin Transl Oncol. Published online March 12, 2025. 9. ESMO Gastric Cancer Living Guidelines. Version 1.4. September 2024. https://www.esmo.org/guidelines/living-guidelines/esmo-living-guideline-gastric-cancer/diagnosis-pathology-and-molecular-biology. Accessed June 16, 2025. 10. Sahin B, Koslowski M, Dhaene K, et al. Claudin-18 splice variant 2 is a pan-cancer target suitable for therapeutic antibody development. Clin Cancer Res. 2008;14(23):7624-34. 11. Niimi T, Nagashima K, Ward JM, et al. Claudin-18, a novel downstream target gene for the T/EBP/NKX2.1 homeodomain transcription factor, encodes lung- and stomach-specific isoforms through alternative splicing. Mol Cell Biol. 2001;21(21):7380-7390. 12. Tsukita S, Tanaka H, Tamura A. The claudins: from tight junctions to biological systems. Trends Biochem Sci. 2019;44(2):141-152. 13. Hu YJ, Wang YD, Tan FQ, Yang WX. Regulation of paracellular permeability: factors and mechanisms. Mol Biol Rep. 2013;40:6123-6124. 14. S. Sahin U, Scholz M, Richly H, et al. A phase I dose-escalation study of IMAB362 (Zolbetuximab) in patients with advanced gastric and gastro-oesophageal junction cancer. Eur J Cancer. 2018;100:17-26. 15. Lamouille S, Xu J, Derynck R. Molecular mechanisms of epithelialmesenchymal transition. Nat Rev Mol Cell Biol. 2014;15(3):178-196. 16. Pellino A, Brignola S, Riello E, et al. Association of CLDN18 protein expression with clinicopathological features and prognosis in advanced gastric and gastroesophageal junction adenocarcinomas. J Pers Med. 2021;11(11):1095. 17. Coati I, Lotz G, Fanelli GN, et al. Claudin-18 expression in oesophagogastric adenocarcinomas: a tissue microarray study of 523 molecularly profiled cases. Br J Cancer. 2019;121(3):257-263. 18. Rohde C, Yamaguchi R, Mukhina S, Sahin U, Itoh K, Türcü O, et al. Claudin 18.2 expression in primary tumors and lymph node metastases in Japanese patients with gastric adenocarcinoma. Jpn J Clin Oncol. 2019;49(9):870-876. 19. Van Cutsem E, Bang YJ, Feng-Yi F, et al. HER2 screening data from ToGA: targeting HER2 in gastric and gastroesophageal junction cancer. Gastric Cancer. 2015;18:476-484. 20. Kubota Y, Kawaoe A, Mishima S, et al. Comprehensive clinical and molecular analysis of claudin 18.2 expression in advanced gastric or gastroesophageal junction cancer. ESMO Open. 2023;8(1):107622. 21. Waters R, Sewastjanow-Silva M, Yamashita K, et al. Retrospective study of claudin 18 isoform 2 prevalence and prognostic association in gastric and gastroesophageal junction adenocarcinoma. JCO Precis Oncol. 2024;8:e2300543. 22. Global Cancer Observatory. Cancer Today. International Agency for Research on Cancer. https://gco.iarc.fr/today/en/dataviz/tables?mode=population&group_populations=0&multiple_populations=1&populations=100_112_191_196_203_208_233_246_250_268_276_300_31_348_352_372_376_380_398_40_417_428_440_442_470_498_499_51_528_56_578_616_620_642_643_688_70_703_705_724_752_756_762_792_795_8_804_807_826_860&cancers=7 and https://gco.iarc.fr/today/en/dataviz/tables?mode=population&group_populations=0&multiple_populations=1&populations=100_112_191_196_203_208_233_246_250_268_276_300_31_348_352_372_376_380_398_40_417_428_440_442_470_498_499_51_528_56_578_616_620_642_643_688_70_703_705_724_752_756_762_792_795_8_804_807_826_860&cancers=7&types=1" Accessed August 8, 2025. 23. Angerilli V, Callegarin M, Govoni I, et al. Heterogeneity of predictive biomarker expression in gastric and esophago-gastric junction carcinoma with peritoneal dissemination. Gastric Cancer. Published online April 9, 2025. 24. Ogawa H, Abe H, Yagi K, et al. Claudin-18 status and its correlation with HER2 and PD-L1 expression in gastric cancer with peritoneal dissemination. Gastric Cancer. 2024;27(4):802-810. 25. Grillo F, Fassan M, Sarocchi F, et al. HER2 heterogeneity in gastric/gastroesophageal carcinoma: assessment of 3D heterogeneity in gastric and gastroesophageal junction cancers. World J Gastroenterol. 2016;22(25):5879-5887.